Comparative analysis of the collimation field size of cervical spine radiographs with reference value
Streszczenie
Wprowadzenie: Podczas wykonywania zdjęć należy stosować środki ochrony radiologicznej. Jednym z nich jest kolimacja, czyli ograniczenie wiązki promieniowania pierwotnego, wykorzystywana w celu ochrony tkanek przed zbędną ekspozycją.
Cel: Celem badania był pomiar wielkości pól kolimacji radiogramów kręgosłupa w odcinku szyjnym i porównanie ich z wielkością referencyjną.
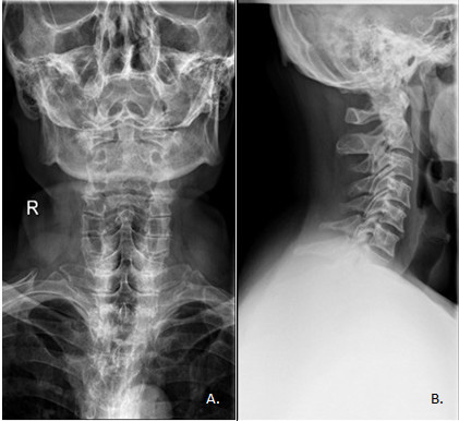
Materiały i metody: Analizie retrospektywnej poddano 150 kolejnych zdjęć rentgenowskich kręgosłupa w odcinku szyjnym, wykonanych w dwóch projekcjach: przednio-tylnej (AP) i bocznej (LAT). Przeprowadzono pomiar długości i szerokości radiogramów oraz obliczono pole powierzchni. Przyjęto wartość referencyjną dla obu projekcji 18 x 24 cm (pole 432 cm2). Radiogramy zostały wykonane w okresie 19.05.2015-12.10.2015 w Zakładzie Radiologii Uniwersyteckiego Szpitala Klinicznego w Białymstoku. Analizę statystyczną przeprowadzono przy użyciu programów MS Excel 2010 oraz Statistica 12.
Wyniki: Najczęściej radiogramy wykonano kobietom (n = 104; 69,33%) w wieku 24-80 lat (Me = 57). Średnia wartość pola kolimacji zdjęcia RTG w projekcji przednio-tylnej wyniosła 284,54 cm2, SD = 3 2,19 c m. N ajwiększe o dnotowane p ole p owierzchni r entgenogramu AP wyniosło 414,03 cm2, natomiast najmniejsze 235,83 cm2. Średnia powierzchnia radiogramu w projekcji bocznej wyniosła 349,54 cm2, SD = 94,54 cm, a wartość maksymalna 645,05 cm2 i minimalna 231,12 cm2. Pole kolimacji radiogramu LAT zostało przekroczone w 19,33% przypadków. Najczęściej (n = 51; 34%) długość radiogramu LAT nie spełniała założonego kryterium. W przypadku zdjęć RTG AP nie odnotowano przekroczenia wartości referencyjnej pola wiązki promieniowania.
Wnioski: Co piąte zdjęcie w projekcji bocznej miało wartość pola kolimacji większą od wartości referencyjnej. Zwiększenie pola wiązki promieniowania może być skutkiem obawy technika wykonującego ekspozycję przed nieobjęciem polem kolimacji całego obszaru, który powinien być widoczny na poprawnie wykonanym radiogramie.
Słowa kluczowe: kolimacja, kręgosłup szyjny, rentgenodiagnostyka, zdjęcie rentgenowskie
Pełna wersja artykułu dostępna w prenumeracie i sieci salonów Empik (półka: prasa popularno-naukowa).
Piotr Nowak1, Aneta Metelska1, Ewa Pasieka2
1 Studenckie Koło Naukowe „Radioaktywni”, Zakład Radiologii, Uniwersytet Medyczny w Białymstoku, ul. M. Skłodowskiej-Curie 24a, 15-276 Białystok, tel. +48 85 831 82 18, e-mail: radiol@umb.edu.pl
2 Zakład Radiologii, Uniwersytet Medyczny w Białymstoku, ul. M. Skłodowskiej-Curie 24a, 15-276 Białystok


