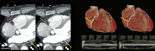
Klaudyna Stefańska, Weronika KubarekPhilips Sztuczna inteligencja AI (Artificial Intelligence) staje się nieodłącznym elementem w nowoczesnych systemach tomografii komputerowej. Początkowo sztuczna inteligencja była postrzegana przez lekarzy i techników jako konkurencja. Jednak wraz z upływem czasu korzyści płynące z zastosowania AI przeważają nad tymi obawami i obecnie ciężko wyobrazić sobie system, który nie wykorzystuje jej do pracy.…
Z Nowym Rokiem 2023 przypadł mi w udziale zaszczyt objęcia funkcji redaktora naczelnego niniejszego czasopisma i kontynuowania działalności prof. Grzegorza Pawlickiego (w latach 2012–2016) oraz prof. Tadeusza Pałko (w latach 2016–2022), z którymi współpracowałam jako zastępca redaktora naczelnego. Czasopismo „Inżynier i Fizyk Medyczny” trafia do Czytelników już od ponad 10 lat i z satysfakcją obserwowaliśmy…
Jakub UrbanKancelaria Adwokacka Urban, ul. Podwislocze 27-1, 35-309 Rzeszów, e-mail: jakub.urban@kancelariaurban.com „Można przypuścić, że wszyscy ludzie mają świadomość, lecz na ogół nie wszyscy zdają sobie z tego sprawę” pisał Stanisław Lem w Okamgnieniu. Prawdziwość tej sentencji potwierdza wielu pracowników, którzy mają świadomość znaczących różnic wykonywania obowiązków w ramach podpisanej umowy o pracę a umowy zlecenia,…
Dominika Oborska-KumaszyńskaNuffield Healthcare Cancer Centre London, 49 Parkside, Wimbledon, United Kingdom, e-mail: dominika.oborska-kumaszynska@cancercentrelondon.co.uk Streszczenie 4D Cone Beam CT (4DCBCT) i Kilovoltage Intrafraction Monitoring (KIM) skorelowane z cyklem oddechowym są wykorzystywane głównie w radioterapii pacjentów z nowotworami płuc (ze szczególnym uwzględnieniem stereotaktycznego napromieniania płuc). Wstępne dane obrazowe pochodzą ze skorelowanej z cyklem oddechowym akwizycji 4DCT i…
Siemens Healthineers • MAGNETOM Terra.X1 o natężeniu pola magnetycznego 7 tesli (T) zapewni doskonałą jakość obrazowania nawet najmniejszych struktur. • MAGNETOM Cima.X2 o natężeniu pola magnetycznego 3 T ponad dwukrotnie zwiększa amplitudę gradientu3. • W segmencie systemów najwyższej klasy są obecnie dostępne algorytmy sztucznej inteligencji (AI), które mogą skrócić czas skanowania nawet o 50%. Podczas…
Ewa ZalewskaCzłonek Clinical Engineering Division IFMBE 2012-2018, stały współpracownik CED od 2018 Wprowadzenie Patrząc w przyszłość, prognozując rozwój inżynierii klinicznej w Polsce, trzeba najpierw zdefiniować stan obecny i spojrzeć z perspektywy rozwoju tej dziedziny na świecie. Na łamach naszego czasopisma przedstawiałam szereg aspektów działalności inżynierii klinicznej, nowe wyzwania i wypracowane w ostatnich latach rozwiązania. Wskazałam…
Prof. dr hab. n. med. Paweł Kukołowicz, konsultant krajowy w dziedzinie fizyki medycznej W trakcie kursu zorganizowanego według programu opracowanego przez CMKP w porozumieniu z konsultantami w dziedzinach fizyki medycznej i diagnostyki obrazowej w Narodowym Instytucie Onkologii im. Marii Skłodowskiej-Curie Państwowym Instytucie Badawczym w Warszawie zadano pytanie o możliwość uznania tego kursu za równoważny z…
Informacje zawarte na stronie inzynier-medyczny.pl oraz redagowane i publikowane w ramach czasopisma „Fizyk inżynier medyczny” przeznaczone są dla profesjonalistów posiadających doświadczenie, wykształcenie oraz wiedzę na temat branży medycznej posiadających kompetencje w zakresie prawidłowej interpretacji zawartych treści lub dla osób wykonujących zawód medyczny. Publikowane i kolportowane materiały nie są przeznaczone dla laików. Prezentowane w ramach publikacji wyroby oraz poruszane tematy medyczne nie mogą być interpretowane przez przeciętnego użytkownika w związku z wysokim wyspecjalizowaniem treści, które mogą wprowadzić go w błąd. Wszystkie wskazane wyżej treści przeznaczone są wyłącznie dla specjalistów i nie są kierowane do publicznej wiadomości.
Dalszym korzystaniem z witryny, wyrażasz zgodę na wykorzystanie cookies. więcej informacji
Używamy cookies i podobnych technologii m.in. w celach: świadczenia usług, reklamy, statystyk. Korzystanie z witryny bez zmiany ustawień Twojej przeglądarki oznacza, że będą one umieszczane w Twoim urządzeniu końcowym. Pamiętaj, że zawsze możesz zmienić te ustawienia. Szczegóły znajdziesz w Polityce Prywatności.