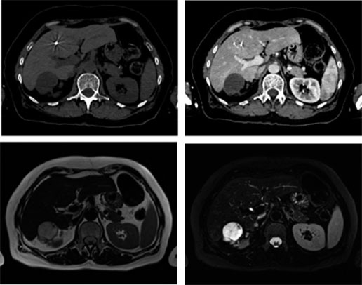
Wstęp W grudniu 2012 roku w Instytucie Onkologii w Gliwicach uruchomiono rezonans magnetyczny Magneton Aera 1,5 T firmy Siemens przeznaczony wyłącznie do planowania leczenia. Rezonans wyposażony jest w dodatkowe funkcje i aplikacje, które ułatwiają proces planowania leczenia pacjentów. Dodatkowym atutem jest wielkość otworu rezonansu wynosząca 70 cm, a także nośność stołu do 250 kg, co pozwala badać pacjentów nawet…
W pracy przedstawiono ogólną charakterystykę aparatu tomoterapeutycznego zainstalowanego w Wielkopolskim Centrum Onkologii. Opisano sposób realizacji napromieniania oraz przypadki kliniczne, które kwalifikowane są do leczenia metodą tomoterapii spiralnej. Wprowadzenie Wielkopolskie Centrum Onkologii (WCO) w grudniu 2008 roku stało się posiadaczem pierwszego w Polsce akceleratora tomoterapeutycznego HT (Helical Tomotherapy). W 2011 roku podobny akcelerator zainstalowany został w Centrum Onkologii w Gliwicach.…
Uprzejmie informuję, że Success Point Sp. z o.o. to od 1 grudnia 2014 r. nowa nazwa spółki MultiTrain Sp. z o.o. Serdecznie zapraszam do odwiedzenia naszej nowej i ulepszonej wersji strony www.successpoint.pl
25 października, po raz pierwszy w Polsce zostały wręczone nagrody SUPERMEDICUS. Ich zadaniem jest między innymi promocja podmiotów branży medycznej, które dzięki dobrym praktykom przyczyniają się do zwiększania poziomu i dostępności usług leczniczych. Do konkursu nominowane było 28 placówek medycznych, nagrodzone zostało 11 z nich. Konkurs SUPERMEDICUS przyznaje nagrody podmiotom, które przyczyniają się do upowszechniania…
Międzynarodowe Targi Medyczne i Farmaceutyczne WIHE minęły. Trwająca trzy dni wystawa, od 8 do 10 października, zgromadziła w Warszawskim Centrum EXPO XXI producentów technologii dla medycyny i farmacji, dyrektorów placówek aptecznych i szpitalnych oraz wielu lekarzy różnych specjalizacji. Ceremonia otwarcia targów odbyła się 8 października o godzinie 11:00. Inauguracji dokonali Suzanne King – dyrektor ds. rozwoju…
Szanowni Państwo! W tym roku mija 80 lat od utworzenia Pracowni Fizycznej w Instytucie Radowym przy ulicy Wawelskiej w Warszawie, przemianowanej później na Zakład Fizyki Medycznej. We współpracy z Polskim Towarzystwem Fizyki Medycznej chcielibyśmy uczcić to wielkie dzieło, zaplanowane i gorąco wspierane przez Marię Skłodowską-Curie, organizacją jednodniowego sympozjum połączonego z obchodami II Międzynarodowego Dnia Fizyki…
Początki zastosowań robotów w chirurgii Wielka precyzja i powtarzalność pracy robotów pracujących w przemyśle inspirowały do tego, aby wykorzystać je w chirurgii. Wprawdzie przeciwnicy robotów chirurgicznych przedstawiali argumenty, że robot jest urządzeniem zbyt niepewnym, żeby powierzać mu zdrowie i życie człowieka, ale świadomość potencjalnych zalet robota na sali operacyjnej przeważyła nad obawami. Pierwszym, który zastosował robota na sali operacyjnej, był Yik San Kwoh w…
Streszczenie Obecnie funkcjonujący system ochrony zdrowia podlega silnym wpływom nowoczesnych technologii. Ich wartość w ciągu ostatnich 20 lat nabrała dużego znaczenia dla rozwoju i funkcjonowania jednostek. Systemy informatyczne wykorzystywane dotychczas do podstawowego zarządzania placówką są już przeszłością. Powstają nowe narzędzia i aplikacje mające na celu wspieranie personelu medycznego i niemedycznego. Przykładem systemu nowego typu jest EHR (Electronic Health Record). Jest to aplikacja systemowa, która…
Informacje zawarte na stronie inzynier-medyczny.pl oraz redagowane i publikowane w ramach czasopisma „Fizyk inżynier medyczny” przeznaczone są dla profesjonalistów posiadających doświadczenie, wykształcenie oraz wiedzę na temat branży medycznej posiadających kompetencje w zakresie prawidłowej interpretacji zawartych treści lub dla osób wykonujących zawód medyczny. Publikowane i kolportowane materiały nie są przeznaczone dla laików. Prezentowane w ramach publikacji wyroby oraz poruszane tematy medyczne nie mogą być interpretowane przez przeciętnego użytkownika w związku z wysokim wyspecjalizowaniem treści, które mogą wprowadzić go w błąd. Wszystkie wskazane wyżej treści przeznaczone są wyłącznie dla specjalistów i nie są kierowane do publicznej wiadomości.
Dalszym korzystaniem z witryny, wyrażasz zgodę na wykorzystanie cookies. więcej informacji
Używamy cookies i podobnych technologii m.in. w celach: świadczenia usług, reklamy, statystyk. Korzystanie z witryny bez zmiany ustawień Twojej przeglądarki oznacza, że będą one umieszczane w Twoim urządzeniu końcowym. Pamiętaj, że zawsze możesz zmienić te ustawienia. Szczegóły znajdziesz w Polityce Prywatności.