Streszczenie Otyłość jest nie tylko jednym z czynników ryzyka zachorowania na nowotwór, lecz także czynnikiem mającym wpływ na rokowania oraz przebieg terapii. W artykule przedstawiono problemy pojawiające się w praktyce klinicznej podczas wykonywania radioterapii, jednej z podstawowych metod leczenia nowotworu – od momentu zakwalifikowania pacjenta otyłego do leczenia energią promieniowania, poprzez wybór odpowiedniej pozycji terapeutycznej i zastosowania unieruchomień, planowanie i późniejszą realizację planu na aparacie terapeutycznym. Wskazano możliwe wystąpienie…
Rezonans magnetyczny (RM) z obrazowaniem dyfuzyjnym (DWI) jest badaniem o bardzo wysokiej czułości i swoistości w rozpoznawaniu wczesnych zmian niedokrwiennych/obrazowaniu obrzęku cytotoksycznego. W ostatnich kilku latach wzrosło zainteresowanie wykorzystaniem tensora dyfuzji do oceny dynamiki wczesnych zmian w przebiegu udaru niedokrwiennego mózgu. Istnieje wiele sprawdzonych klinicznie metod neuroobrazowania udaru, o których należy pamiętać ze względu na ich komplementarność w trudnym postępowaniu diagnostycznym. Najbardziej czułą techniką w wykrywaniu wczesnych zmian niedokrwiennych jest obrazowanie…
Badanie ultrasonograficzne (USG) jest najczęściej wykorzystywaną metodą diagnostyki chorób wnętrza ciała. Pozwala na obserwację przestrzeni anatomicznych oraz wielkości, kształtów i położenia organów oraz ich wnętrza. Zaletą tej metody jest nieinwazyjność oraz bezpieczeństwo stosowania dla pacjenta, nawet w krótkich odstępach czasowych pomiędzy badaniami. Diagnostyczna możliwość zobrazowania odpowiedniej struktury uwarunkowana jest w dużej mierze zastosowaniem dedykowanej sondy. Potrzeba poprawiania obrazu USG ciągle wymusza konstruowanie…
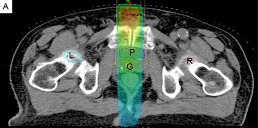
Streszczenie Radioterapia jest metodą leczenia głównie chorób nowotworowych za pomocą promieniowania jonizującego. Większość współczesnych, powszechnie stosowanych w teleradioterapii, aparatów terapeutycznych wykorzystuje promieniowanie jonizujące, które jest wytwarzane przez liniowe przyspieszacze elektronów. Sposób generowania wiązki w większości akceleratorów biomedycznych jest podobny, istnieją jednak różnice w sposobie kształtowania wiązki, jej geometrii, możliwości dostarczenia do pacjenta. Współczesne aparaty terapeutyczne wykorzystują najnowsze rozwiązania techniczne. Coraz częściej dedykowane są do określonych lokalizacji i wielkości guzów nowotworowych. Oferują…
Redakcja Inżyniera i Fizyka Medycznego zaprasza 5-7 czerwca 2014 do Krosna na XII Naukowy Zjazd Polskiego Towarzystwa Ultrasonograficznego Bogaty program naukowy Znakomici wykładowcy z Polski i z zagranicy Wystawa najnowocześniejszego sprzętu i aparatury Certyfikat uczestnictwa Spotkania z przedstawicielami społeczności ultrasonograficznej z całej Polski Rejestracja uczestnictwa w Zjeździe przez stronę internetową: www.ptu2014.pl Tematy sesji naukowych i szkoleniowych:…
Targi poświęcone są prezentacji najnowszych osiągnięć w dziedzinie nauk medycznych. Na targach znajdą Państwo szeroki wachlarz produktów począwszy od sprzętu medycznego stosowanego w diagnostyce obrazowej, kardiologii, chirurgii, intensywnej terapii i ratownictwie medycznym po wyposażenie szpitali, środki dezynfekujące i materiały jednorazowego użytku skończywszy na wyposażeniu bloku operacyjnego. Tematyka targów Sprzęt medyczny Kompleksowe wyposażenie bloku operacyjnego Meble i wyposażenie…
Zapraszamy na Konferencję “Systemy i technologie do zarządzania szpitalem/przychodnią” pod patronatem “Inżyniera i Fizyka Medycznego” 15 kwietnia 2014 r. , Warszawa. Unowocześnij swoją placówkę medyczną już dziś! Nowoczesne systemy i technologie wykorzystywane w placówkach ochrony zdrowia zwiększają ich efektywność, podnoszą konkurencyjność, a przede wszystkim zwiększają bezpieczeństwo pacjenta, który liczy na natychmiastową reakcję, interwencję oraz fachową…
Informacje zawarte na stronie inzynier-medyczny.pl oraz redagowane i publikowane w ramach czasopisma „Fizyk inżynier medyczny” przeznaczone są dla profesjonalistów posiadających doświadczenie, wykształcenie oraz wiedzę na temat branży medycznej posiadających kompetencje w zakresie prawidłowej interpretacji zawartych treści lub dla osób wykonujących zawód medyczny. Publikowane i kolportowane materiały nie są przeznaczone dla laików. Prezentowane w ramach publikacji wyroby oraz poruszane tematy medyczne nie mogą być interpretowane przez przeciętnego użytkownika w związku z wysokim wyspecjalizowaniem treści, które mogą wprowadzić go w błąd. Wszystkie wskazane wyżej treści przeznaczone są wyłącznie dla specjalistów i nie są kierowane do publicznej wiadomości.
Dalszym korzystaniem z witryny, wyrażasz zgodę na wykorzystanie cookies. więcej informacji
Używamy cookies i podobnych technologii m.in. w celach: świadczenia usług, reklamy, statystyk. Korzystanie z witryny bez zmiany ustawień Twojej przeglądarki oznacza, że będą one umieszczane w Twoim urządzeniu końcowym. Pamiętaj, że zawsze możesz zmienić te ustawienia. Szczegóły znajdziesz w Polityce Prywatności.