Maria Skłodowska-Curie, wielka uczona polska i francuska, która wraz z mężem – Piotrem Curie spoczęła w paryskim Panteonie, patriotka, o czym świadczy jej działalność w czasie I wojny światowej. Jej patriotyzm wykraczał poza ramy sentymentalnej uczciwości. Przez całe życie, w sposób przemyślany i konstruktywny, w miarę możliwości starała się służyć rodzinnemu krajowi swoją wiedzą i…
Registration and classification of adverse events in radiotherapy in Europe Streszczenie Ocena ryzyka, kontrola jakości i bezpieczeństwa w radioterapii w dobie nowoczesnych technologii i coraz bardziej skomputeryzowanych systemów odgrywa coraz większą rolę w procesie radioterapii. Szybki rozwój technologii oraz rosnąca liczba pacjentów przyczyniają się do powstawania sytuacji, w których istnieje większe ryzyko wystąpienia zdarzeń niepożądanych…
W ostatnich latach trwały bardzo intensywne prace nad znowelizowaniem rozporządzenia Ministra Zdrowia z dnia 18 lutego 2011 r. w sprawie warunków bezpiecznego stosowania promieniowania jonizującego dla wszystkich rodzajów ekspozycji medycznej (t. jedn. Dz.U. 2013 r., poz. 1015). Finalne poprawki nad projektem odbywały się przez ostatnie 3 miesiące. Pokuszono się zatem o porównanie starego rozporządzenia z…
Akredytacja laboratoriów badawczych jest zazwyczaj wykonywana przez krajowe jednostki akredytujące (w Polsce – Polskie Centrum Akredytacyjne). Podstawową rolą tych organów jest zapewnienie oceny laboratoriów zgodnie z normą ISO 17025. Część IX – Inżynier i Fizyk Medyczny, 4(3), 2015, 209-212 [1]. Zapis wyników i związanych danych [5.4.7, 4.13] Kluczowe pytania –Czy system zapewnia, że wszystkie obserwacje/ pomiary są…
Small photon fields dosimetry – supplement Streszczenie W artykule omówiono nowe fakty w dziedzinie pomiarów dozymetrycznych małych pól. Szczególny nacisk położono na problem perturbacji sygnału w przypadku detektorów półprzewodnikowych. Sformułowano też sugestie dotyczące optymalnej, w chwili obecnej, metody pomiaru wydajności małych pól fotonowych. Słowa kluczowe: małe pola, dozymetria, diody Abstract The present work provides information…
Ultrasonografia bazuje na wysyłaniu i rejestracji odbitych fal dźwiękowych w paśmie częstotliwości niesłyszalnych dla człowieka. Część energii fali ultradźwiękowej, za pośrednictwem kilku procesów, zostaje zdeponowana w ośrodku badanym, wywołując efekty uboczne i niepożądane. Należy zastanowić się, czy diagnostyka ultrasonograficzna jest w pełni bezpieczna dla pacjentów. Czytaj całość: Inżynier i Fizyk Medyczny 4(5), 2015 Monika Jędrzejewska, Bartosz Węckowski,…
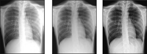
W artykule przedstawiono nową metodę przetwarzania zdjęć rentgenowskich – technologię Wirtualnej kratki, dzięki której słaba jakość zdjęcia wynikająca z rozproszonego promieniowania w przypadku wykonania zdjęcia bez kratki fizycznej ulega znacznej poprawie. Technologia ta poprawia jakość zdjęć rentgenowskich wykonywanych bez użycia kratki przeciwrozproszeniowej, zwykle przy zdjęciach przyłóżkowych oraz na SOR-ach. Kratki fizyczne są często używane w celu zminimalizowania wpływu…
Wprowadzenie Fuzja obrazów medycznych to proces rejestracji i łączenia obrazów z jednej lub wielu technik obrazowania. Jest to związane z poprawieniem jakości informacji diagnostycznej/obrazowej lub jej wzajemnym uzupełnieniem w celu zwiększenia przydatności klinicznej obrazów medycznych do diagnostyki i ich oceny. Algorytmy wielomodalnej fuzji obrazów medycznych wspomagają poprawę dokładności klinicznych decyzji podjętych na podstawie obrazów medycznych. Potrzeba fuzji obrazów medycznych…
Informacje zawarte na stronie inzynier-medyczny.pl oraz redagowane i publikowane w ramach czasopisma „Fizyk inżynier medyczny” przeznaczone są dla profesjonalistów posiadających doświadczenie, wykształcenie oraz wiedzę na temat branży medycznej posiadających kompetencje w zakresie prawidłowej interpretacji zawartych treści lub dla osób wykonujących zawód medyczny. Publikowane i kolportowane materiały nie są przeznaczone dla laików. Prezentowane w ramach publikacji wyroby oraz poruszane tematy medyczne nie mogą być interpretowane przez przeciętnego użytkownika w związku z wysokim wyspecjalizowaniem treści, które mogą wprowadzić go w błąd. Wszystkie wskazane wyżej treści przeznaczone są wyłącznie dla specjalistów i nie są kierowane do publicznej wiadomości.
Dalszym korzystaniem z witryny, wyrażasz zgodę na wykorzystanie cookies. więcej informacji
Używamy cookies i podobnych technologii m.in. w celach: świadczenia usług, reklamy, statystyk. Korzystanie z witryny bez zmiany ustawień Twojej przeglądarki oznacza, że będą one umieszczane w Twoim urządzeniu końcowym. Pamiętaj, że zawsze możesz zmienić te ustawienia. Szczegóły znajdziesz w Polityce Prywatności.