Streszczenie W artykule przedstawiono możliwości zastosowania sztucznych sieci neuronowych oraz innych metod do analizy i rozpoznawania sygnałów elektrokardiograficznych. Dokonano przeglądu zagadnień dotyczących EKG, pozyskiwania i interpretacji sygnałów, sztucznych sieci neuronowych oraz danych literaturowych na temat zastosowania sieci neuronowych do rozpoznawania sygnałów EKG. Podjęto próbę zaimplementowania systemu rozróżniającego sygnały w oprogramowaniu Matlab. Słowa kluczowe: kaszel, sztuczna inteligencja, sztuczne sieci…
Streszczenie Rozwój technik napromieniania pacjentów, tj. IMRT i VMAT, pociągnął za sobą zmianę metodyki weryfikacji planów leczenia. W pomiarze pól o skomplikowanej geometrii zastosowanie ma dozymetria filmowa, która obecnie coraz częściej zastępowana jest dozymetrią z użyciem płaskich i cylindrycznych matryc wielodetektorowych. Sposoby i zasady prowadzenia indywidualnej kontroli jakości leczenia technik dynamicznych zostały opisane w międzynarodowych dokumentach AAPM oraz ESTRO. Celem pracy było…
Streszczenie Pozytonowa tomografia emisyjna PET w krótkim czasie stała się metodą z wyboru w wielu wskazaniach onkologicznych – w przypadku określenia stopnia zaawansowania wybranych nowotworów oraz obserwacji odległych. Metoda ta znalazła zastosowanie również w ocenie właściwości farmakokinetycznych i skuteczności nowych leków. Prowadzanie kontroli jakości w przypadku urządzeń PET zapewnia właściwe odwzorowanie dystrybucji podanego radiofarmaceutyku w ciele pacjenta. Obecnie polskie przepisy prawne nie precyzują…
Streszczenie Wprowadzenie. Zdjęcie RTG porównawcze rąk jest podstawowym badaniem obrazowym w rozpoznaniu i ocenie procesu leczenia reumatoidalnego zapalenia stawów rąk. Objawy radiologiczne często są bardzo dyskretne, co wymaga bardzo dobrej jakości obrazów w zakresie kontrastu. Kontrastowość obrazu rentgenowskiego związana jest z niejednorodnością wiązki promieniowania emitowanego przez lampę rentgenowską. Cel. Celem badania była retrospektywna analiza anodowego efektu osłabienia promieniowania rentgenowskiego…
Wprowadzenie W 2013 roku minęło 100 lat od powstania idei zastosowania kratki przeciwrozproszeniowej w technice radiografii. Podstawy techniczne działania, obecnie jednego z najczęściej używanych narzędzi poprawy jakości obrazu w rentgenodiagnostyce, stworzył doktor Gustav Peter Bucky (Fot. 1). W artykule przedstawiono sylwetkę genialnego lekarza, jego życie i najważniejsze osiągnięcia w medycynie oraz technice. Praca powstała na podstawie przeglądu publikacji książkowych i czasopism. Streszczenie…
Wprowadzenie W województwie wielkopolskim obserwuje się trend wzrostu nowych zachorowań z roku na rok. W 2000 roku liczba nowych zachorowań wynosiła 1192, w 2003 roku – 1197, 2004 roku – 1200 osób, a już w 2012 roku wykryto 1600 przypadków nowotworów piersi. Zasadnym zatem wydaje się podjęcie badań mających na celu ocenę wiedzy personelu medycznego oraz pacjentek z tego obszaru. Praca jest…
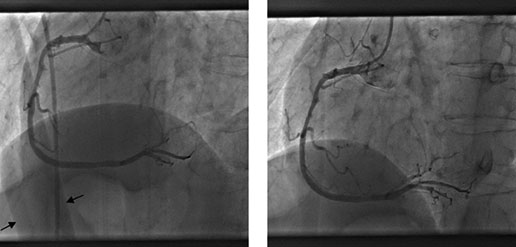
Streszczenie Wprowadzenie i cel: W ochronie radiologicznej standard pacjenta referencyjnego stanowi kryterium odniesienia względem dawek promieniowania, jakich nie należy przekraczać w diagnostyce i leczeniu z użyciem promieniowania jonizującego. Celem badania była analiza porównawcza pomiędzy wartościami opisującymi wzrost i masę ciała pacjentów, którym wykonano angioplastykę wieńcową a standardem pacjenta referencyjnego płci żeńskiej i męskiej. Materiał i metoda: Grupę badaną stanowiło 372 pacjentów, którym wykonano zabieg…
Streszczenie Korzyści wynikające z zastosowań promieniowania jonizującego w medycynie i technice nie zmieniają faktu możliwego szkodliwego wpływu na zdrowie ludzkie. Dlatego potrzebne są odpowiednie regulacje prawne zapewniające nadzór i ochronę radiologiczną, szczególnie dla osób pracujących w narażeniu na promieniowanie jonizujące. Przepisy w zakresie ochrony radiologicznej pozwalają zminimalizować liczbę skutków i zachorowań związanych z negatywnym działaniem promieniowania jonizującego. Jednocześnie rozwój nowych technologii i …
Informacje zawarte na stronie inzynier-medyczny.pl oraz redagowane i publikowane w ramach czasopisma „Fizyk inżynier medyczny” przeznaczone są dla profesjonalistów posiadających doświadczenie, wykształcenie oraz wiedzę na temat branży medycznej posiadających kompetencje w zakresie prawidłowej interpretacji zawartych treści lub dla osób wykonujących zawód medyczny. Publikowane i kolportowane materiały nie są przeznaczone dla laików. Prezentowane w ramach publikacji wyroby oraz poruszane tematy medyczne nie mogą być interpretowane przez przeciętnego użytkownika w związku z wysokim wyspecjalizowaniem treści, które mogą wprowadzić go w błąd. Wszystkie wskazane wyżej treści przeznaczone są wyłącznie dla specjalistów i nie są kierowane do publicznej wiadomości.
Dalszym korzystaniem z witryny, wyrażasz zgodę na wykorzystanie cookies. więcej informacji
Używamy cookies i podobnych technologii m.in. w celach: świadczenia usług, reklamy, statystyk. Korzystanie z witryny bez zmiany ustawień Twojej przeglądarki oznacza, że będą one umieszczane w Twoim urządzeniu końcowym. Pamiętaj, że zawsze możesz zmienić te ustawienia. Szczegóły znajdziesz w Polityce Prywatności.