Specialization and certification in the field of medical engineering in Poland and in the world Part 3: Clinical Engineering Division of IFMBE Streszczenie Inżynieria medyczna, ze względu na swoją specyfikę, reprezentowana jest w International Federation of Biomedical Engineering przez specjalną sekcję CED/IFMBE (Clinical Engineering Division). W artykule przedstawiono działalność sekcji CED. Słowa kluczowe: inżynieria medyczna, Clinical Engineering Division, IFMBE
Proton magnetic resonance spectroscopy (1H MRS) of adult human brain Streszczenie Protonowa spektroskopia rezonansu magnetycznego (1H MRS) umożliwia uzyskanie informacji o składzie biochemicznym w wybranych lokalizacjach organizmu in vivo w sposób bezinwazyjny. Pozwala na ocenę obecności i stężenia szeregu metabolitów w badanej tkance, m.in. N-acetyloasparaginianu, kreatyny, choliny, glutaminy i glutaminianu, mio-inozytolu oraz kwasu gamma-aminomasłowego, a także…
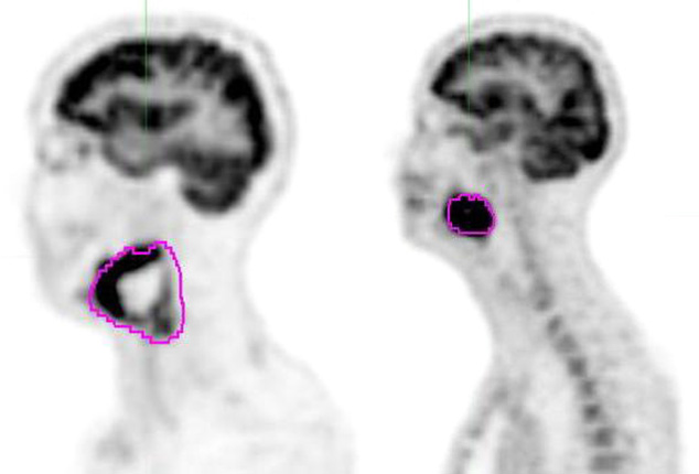
18F-FDG-PET/CT metabolic parameters for diagnostic assessment of tumor biology Streszczenie Wczesne postawienie prawidłowej diagnozy, zwłaszcza w onkologii, pozwala na dobranie najbardziej odpowiedniego leczenia dla pacjenta. Badania radioizotopowe odgrywają kluczową rolę w ocenie czynności narządów i tkanek oraz procesów metabolicznych zachodzących w organizmie człowieka, natomiast mniejszą w ocenie budowy morfologicznej. Pozytonowa tomografia emisyjna (PET) jest nieinwazyjną metodą, która…
The legal requirements for the organization and operation of the radioisotope branch Streszczenie Zgodnie z przepisami dotyczącymi ochrony radiologicznej, prowadzenie leczenia izotopowego dawkami jodu promieniotwórczego powyżej 800 MBq wymaga hospitalizacji w warunkach oddziału radioizotopowego. Uruchomienie takiego oddziału wiąże się ze spełnieniem szeregu wymogów dotyczących pomieszczeń, wyposażenia w urządzenia diagnostyczne i mierniki promieniowania, zapisanych w rozporządzeniach…
The usefulness at the acquisition in lateral projection in scintigraphic detection of sentinel lymph node in SNOLL examination in patients with breast cancer Streszczenie Wstęp: Rak piersi jest jednym z najczęściej występujących nowotworów u kobiet. Stanowi 20% wszystkich zachorowań na nowotwory, a w ostatnich kilku latach zachorowalność wzrosła o 4-5%. Dane przedstawione w Krajowym Rejestrze Nowotworów Złośliwych…
Entrance surface air kerma in general radiography Streszczenie Zgodnie z polskimi wymogami prawnymi do wyznaczania dawek indywidualnych otrzymywanych przez pacjentów podczas badań rentgenowskich mogą służyć następujące wielkości fizyczne: DAP (Dose Area Product), dawka wejściowa oraz wejściowa dawka powierzchniowa. W niniejszej pracy opisano metodę pośredniego wyznaczania wejściowej dawki powierzchniowej dla pacjentów poddawanych badaniom radiograficznym. Zaprezentowano również…
A calibration of ct numbers for radiotherapy planning purposes Streszczenie Tomografia komputerowa (TK) stanowi źródło informacji obrazowej będącej podstawą współczesnego planowania leczenia w radioterapii. Celem planowania RT jest utworzenie rozkładu dawek, tak zapewnić jego homogenność w objętości tarczowej, przy jednoczesnym minimalizowaniu wpływu promieniowania na okoliczne narządy krytyczne. Jednym z podstawowych procesów przygotowania systemu planowania leczenia (SPL) do obliczania rozkładu dawek przy użyciu…
The application of diode laser SIROLaser Blue® in dentistry Streszczenie Technologie laserowe na stałe znalazły swoje miejsce w świecie medycyny. Ich rozwój zawdzięczamy wykorzystywaniu nowoczesnych rozwiązań technologicznych, dzięki którym stale zwiększa się spektrum zastosowań klinicznych laserów. Poza niewątpliwą skutecznością tych urządzeń bardzo ważną zaletą są pozytywne odczucia pacjentów, m.in. szybsza rekonwalescencja. Skonstruowanie wydajnej diody laserowej o niebieskim promieniowaniu umożliwiło lepszą absorpcję światła w tkance miękkiej oraz…
Informacje zawarte na stronie inzynier-medyczny.pl oraz redagowane i publikowane w ramach czasopisma „Fizyk inżynier medyczny” przeznaczone są dla profesjonalistów posiadających doświadczenie, wykształcenie oraz wiedzę na temat branży medycznej posiadających kompetencje w zakresie prawidłowej interpretacji zawartych treści lub dla osób wykonujących zawód medyczny. Publikowane i kolportowane materiały nie są przeznaczone dla laików. Prezentowane w ramach publikacji wyroby oraz poruszane tematy medyczne nie mogą być interpretowane przez przeciętnego użytkownika w związku z wysokim wyspecjalizowaniem treści, które mogą wprowadzić go w błąd. Wszystkie wskazane wyżej treści przeznaczone są wyłącznie dla specjalistów i nie są kierowane do publicznej wiadomości.
Dalszym korzystaniem z witryny, wyrażasz zgodę na wykorzystanie cookies. więcej informacji
Używamy cookies i podobnych technologii m.in. w celach: świadczenia usług, reklamy, statystyk. Korzystanie z witryny bez zmiany ustawień Twojej przeglądarki oznacza, że będą one umieszczane w Twoim urządzeniu końcowym. Pamiętaj, że zawsze możesz zmienić te ustawienia. Szczegóły znajdziesz w Polityce Prywatności.