Rola opieki stomatologicznej nad pacjentami onkologicznymi poddanymi radioterapii głowy i szyi
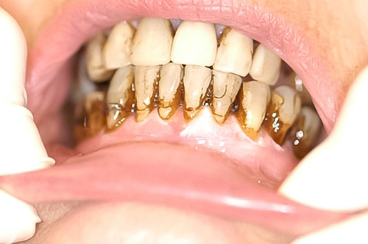
Dominika Oborska-KumaszyńskaCancer Centre London, 49 Parkside, Wimbledon, London SW19 5NB, Wielka Brytania; dominika.oborska-kumaszynska@cancercentrelondon.co.uk (D.O.-K.) Streszczenie Nowotwory głowy i szyi obejmują heterogenną grupę nowotworów wywodzących się z górnych dróg oddechowych i przewodu pokarmowego, zatok przynosowych oraz ślinianek i tarczycy. Optymalne postępowanie w leczeniu tych nowotworów wymaga multidyscyplinarnego podejścia. Radioterapia jest jedną z technik oferowanych w kompleksowym…









