Tegoroczny Kongres RSNA odbył się w formule wirtualnej, dzięki temu każdy bez konieczności dalekiej i męczącej podróży mógł odwiedzić stoisko Philips. Niniejszy artykuł przedstawia nowości i najważniejsze rozwiązania w dziedzinie rezonansu magnetycznego oraz zaawansowanych narzędzi wizualizacji i analizy obrazów diagnostycznych. W części poświęconej rezonansowi magnetycznemu główną „atrakcją” stoiska był system Ingenia Ambition – wciąż jedyny…
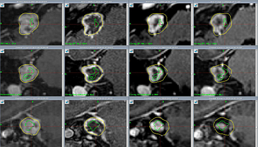
Streszczenie Nowotwory ośrodkowego układu nerwowego (OUN) wywodzą się z mózgu, rdzenia, opon mózgowych, a także są efektem przerzutów z nowotworów powstałych w innych narządach. Nawet zmiany histologicznie niezłośliwe mogą powodować śmierć wskutek ucisku na życiowo ważne struktury [1]. Nowotwory mózgu powodują 3% zgonów nowotworowych u obu płci i 1/3 zgonów nowotworowych u dzieci (0-19 lat).…
Streszczenie Współczesna radioterapia może być realizowana tylko przy współistnieniu informacji obrazowej, zarówno na potrzeby diagnostyki, jak i procedury symulacyjnej. Symulacja jest procedurą, która pozwala na zobrazowanie rekonstrukcji ciała pacjenta w pozycji, w której pacjent będzie leczony podczas radioterapii. Pozyskiwana jest również informacja na potrzeby planowania leczenia radioterapeutycznego. Jedną z modalności, najczęściej wykorzystywaną na potrzeby symulacji,…
United Imaging Healthcare przedstawia nowy system uCT® ATLAS podczas RSNA 2020 United Imaging Healthcare, platynowy sponsor wirtualnej konferencji RSNA 2020, zaprezentowało swoją najnowszą technologię uCT® ATLAS1 – 640warstwowy system tomografi i komputerowej z innowacyjną technologią AI (z ang. Artifi cial Intelligence; sztuczna inteligencja) i największą, 82 cm średnicą otworu gantry w systemach CT dostępnych w…
Aktywna działalność w międzynarodowym środowisku inżynierów klinicznych i pełnienie funkcji konsultanta wojewódzkiego w dziedzinie inżynierii medycznej, od 10 lat, upoważnia mnie do przedstawienia oceny stanu inżynierii klinicznej w Polsce w szerokiej perspektywie, na tle sytuacji w innych krajach, a także zaproponowania konkretnych działań, które doprowadzą do tego, że specjaliści inżynierii klinicznej w Polsce będą mieli…
W poprzednim numerze „Inżyniera i Fizyka Medycznego” zamieściłem pierwszy zbiór zadań przygotowujących do egzaminu specjalizacyjnego w dziedzinie fizyka medyczna. Mam nadzieje, że rozwiązanie tych zadań, osobom przygotowującym się do egzaminu, nie sprawiło żadnych problemów. W tym numerze czasopisma, ostatnim numerze roku 2020, zamieszczam kolejnych dziesięć zadań. Powodzenia!Jako że ten numer ukazuje się w grudniu 2020…
Streszczenie Niezależna weryfikacja/sprawdzanie planów leczenia i ich statystki w radioterapii przez wykwalifikowanego fizyka medycznego jest jednym z kluczowych elementów zapewnienia bezpiecznej, wysokiej jakości radioterapii. To jest potencjalnie jedna z najskuteczniejszych metod identyfikacji błędów oraz luk jakościowych pod warunkiem, że spełnia określone kryteria skutecznego procesu weryfikacji i zapewnia komprehensywną ocenę planu leczenia. Wdrożenie środków i procesów…
WprowadzenieW codziennej pracy ośrodka radioterapeutycznego nieuniknione są przerwy w działaniu aparatów spowodowane awariami lub przeglądami akceleratorów medycznych. W celu zachowania ciągłości leczenia pacjenci napromieniani są na innych dostępnych w ośrodku aparatach. Ze względu na to, że każdy z radioterapeutycznych planów leczenia dostosowany jest do aparatu, na którym plan ma być realizowany, koniecznym jest przygotowywanie zastępczych…
Informacje zawarte na stronie inzynier-medyczny.pl oraz redagowane i publikowane w ramach czasopisma „Fizyk inżynier medyczny” przeznaczone są dla profesjonalistów posiadających doświadczenie, wykształcenie oraz wiedzę na temat branży medycznej posiadających kompetencje w zakresie prawidłowej interpretacji zawartych treści lub dla osób wykonujących zawód medyczny. Publikowane i kolportowane materiały nie są przeznaczone dla laików. Prezentowane w ramach publikacji wyroby oraz poruszane tematy medyczne nie mogą być interpretowane przez przeciętnego użytkownika w związku z wysokim wyspecjalizowaniem treści, które mogą wprowadzić go w błąd. Wszystkie wskazane wyżej treści przeznaczone są wyłącznie dla specjalistów i nie są kierowane do publicznej wiadomości.
Dalszym korzystaniem z witryny, wyrażasz zgodę na wykorzystanie cookies. więcej informacji
Używamy cookies i podobnych technologii m.in. w celach: świadczenia usług, reklamy, statystyk. Korzystanie z witryny bez zmiany ustawień Twojej przeglądarki oznacza, że będą one umieszczane w Twoim urządzeniu końcowym. Pamiętaj, że zawsze możesz zmienić te ustawienia. Szczegóły znajdziesz w Polityce Prywatności.