ACS w systemie tomograficznym – weryfikacja na potrzeby radioterapii podczas testów dopuszczających tomografu Philips Brillance (ver.4.2.0.17057) Abstract The aim of the project was to allow the CT system (Philips Brilliance ver.4.2.0.17057) to a clinical use in radiation therapy. A part of the project was to evaluate the performance of the ACS system using quality and quantity parameters of CT images. The assumption was…
Specialization and certification in the field of medical engineering in Poland and in the world Part 2: Medical engineering – genesis and development Streszczenie W artykule przedstawiono zarys historyczny powstawania i kształtowania się zawodu inżyniera medycznego. Zaznaczone zostały najważniejsze wydarzenia mające istotny wpływ na określenie, czym jest ten zawód i jego roli w ochronie zdrowia. Słowa kluczowe: inżynieria medyczna,…
Radiologic image of ventricular histiocytosis on two cases Streszczenie Wstęp: Histiocytoza jest schorzeniem wieloukładowym [1], w którym dochodzi do zaburzenia czynności układu siateczkowo-śródbłonkowego, które prowadzi do ciągłej stymulacji immunologicznej, podziałów i nagromadzenia komórek Langerhansa w różnych narządach. Histiocytoza jest rzadką chorobą występującą najczęściej u dzieci w wieku 1-3 lat [2], nieco częściej u chłopców [3-5]. Przypadek kliniczny: Przedstawiamy obraz radiologiczny histiocytozy z…
Point of central ray as tool in quality control of chest radiography Streszczenie Wprowadzenie: Umiejętne posługiwanie się punktem padania promienia centralnego (PC) jest jednym z głównych wyznaczników prawidłowego pozycjonowania pacjenta do radiografii. Podczas wykonywania zdjęcia rentgenowskiego klatki piersiowej w projekcji tylno-przedniej PC pada w linii pośrodkowej tylnej badanego pacjenta, na wysokości dolnych kątów łopatek, co odpowiada siódmemu kręgowi piersiowemu. Celem pracy jest określenie…
Wprowadzenie Rentgenowskie tomografy komputerowe, tak jak inne medyczne aparaty rentgenowskie, podlegają obowiązkowi testowania [1-3]. Jednym z testów specjalistycznych obowiązujących dla tomografii komputerowej jest pomiar i ocena objętościowego tomograficznego indeksu dawki CTDIvol. Oczekuje się, że odchylenie CTDIvol od wartości wyświetlanej na konsoli tomografu komputerowego nie przekroczy ±20%. Wykonanie testu z reguły nie nastręcza dużych problemów. Wyniki pomiarów są zazwyczaj zgodne z danymi podawanymi przez…
Medical monitors – should they arise requirements/technical recommendations for monitors used in radiotherapy? Streszczenie Monitory medyczne stanowią ostatni element procesu obrazowania. Jest to prezentacja obrazów medycznych, uzyskanych z różnych systemów obrazowania medycznego: aparaty rtg, USG, MRI, TK, urządzenia medycyny nuklearnej. Są one podstawą do oceny cech fizycznych i fizjologicznych pacjenta. W radioterapii wykorzystywane są obrazy pochodzące ze wszystkich możliwych modalności diagnostyki obrazowej, jak również…
Specialization and certification in the field of medical engineering in Poland and in the world Part 1: Medical engineering – professional specialization in health care Streszczenie W artykule przedstawiono zagadnienia związane z kształceniem akademickim z zakresu inżynierii biomedycznej i zawodowym kształceniem specjalizacyjnym w dziedzinie inżynierii medycznej. Przedstawiono też główną rolę inżyniera medycznego jako specjalisty zawodu mającego zastosowanie w ochronie zdrowia. Słowa kluczowe: inżynieria…
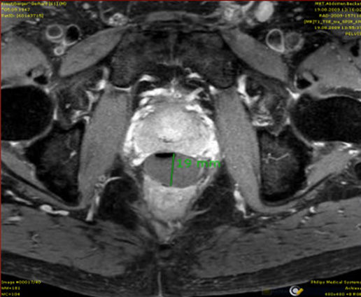
Radioterapia jest związana z ryzykiem nieodwracalnego uszkodzenia zdrowych organów sąsiadujących ze zmianami nowotworowymi. Podczas planowania leczenia konieczne jest zachowanie balansu pomiędzy podaniem wysokiej dawki na nowotwór a oszczędzeniem zdrowych tkanek. Przewaga wysokich dawek frakcyjnych w kontekście wyższej skuteczności biologicznej skłania do zaburzenia utartej równowagi, podwyższając toksyczność leczenia. Motywację dostarczają doskonałe wyniki leczenia wysokimi dawkami (stereotaksja), które w przypadku zmian zlokalizowanych w prostacie w niskim…
Informacje zawarte na stronie inzynier-medyczny.pl oraz redagowane i publikowane w ramach czasopisma „Fizyk inżynier medyczny” przeznaczone są dla profesjonalistów posiadających doświadczenie, wykształcenie oraz wiedzę na temat branży medycznej posiadających kompetencje w zakresie prawidłowej interpretacji zawartych treści lub dla osób wykonujących zawód medyczny. Publikowane i kolportowane materiały nie są przeznaczone dla laików. Prezentowane w ramach publikacji wyroby oraz poruszane tematy medyczne nie mogą być interpretowane przez przeciętnego użytkownika w związku z wysokim wyspecjalizowaniem treści, które mogą wprowadzić go w błąd. Wszystkie wskazane wyżej treści przeznaczone są wyłącznie dla specjalistów i nie są kierowane do publicznej wiadomości.
Dalszym korzystaniem z witryny, wyrażasz zgodę na wykorzystanie cookies. więcej informacji
Używamy cookies i podobnych technologii m.in. w celach: świadczenia usług, reklamy, statystyk. Korzystanie z witryny bez zmiany ustawień Twojej przeglądarki oznacza, że będą one umieszczane w Twoim urządzeniu końcowym. Pamiętaj, że zawsze możesz zmienić te ustawienia. Szczegóły znajdziesz w Polityce Prywatności.