Pozycjonowanie pacjenta przy pomocy zewnętrznych unieruchomień doprowadziło do znacznej poprawy odtwarzalności interfrakcyjnej, nie wpływało jednak na znaczące ograniczenie marginesów w leczeniu radioterapią. Punkty odniesienia na skórze oraz pozycja ciała nie mają wpływu na ograniczenie ruchomości narządów wewnętrznych, które są generowane ruchem oddechowym. Rozpowszechnienie techniki SBRT wymusiło pozycjonowanie w oparciu o CBCT oraz złote znaczniki umieszczone w narządach, co znacznie poprawiło precyzję leczenia,…
Wprowadzenie Bolus to materiał równoważny tkance miękkiej, którego współczynnik osłabienia promieniowania zbliżony jest do współczynnika osłabienia dla wody. Umieszcza się go nad napromienianym obszarem, bezpośrednio na skórze lub na masce stabilizującej ułożenie pacjenta. Bolus stosowany jest w radioterapii w celu zwiększenia dawki powierzchniowej lub skompensowania braku tkanki. Modelowanie powierzchni napromienianej przy pomocy bolusa, zarówno dla…
A calibration of ct numbers for radiotherapy planning purposes Streszczenie Tomografia komputerowa (TK) stanowi źródło informacji obrazowej będącej podstawą współczesnego planowania leczenia w radioterapii. Celem planowania RT jest utworzenie rozkładu dawek, tak zapewnić jego homogenność w objętości tarczowej, przy jednoczesnym minimalizowaniu wpływu promieniowania na okoliczne narządy krytyczne. Jednym z podstawowych procesów przygotowania systemu planowania leczenia (SPL) do obliczania rozkładu dawek przy użyciu…
Data: 19-21 październik 2017 Miejsce: EXPO XXI WARSZAWA ul. Prądzyńskiego 12/14 WIHE Hospital to specjalistyczne wydarzenie o charakterze biznesowo-edukacyjnym, skierowane do lekarzy różnych specjalizacji, pielęgniarek i położnych, ratowników medycznych oraz kadry zarządzającej placówkami medycznymi. Jednocześnie jest to największa w województwie mazowieckim, międzynarodowa wystawa wyrobów i urządzeń medycznych oraz rozwiązań z zakresu telemedycyny. Targi WIHE corocznie…
Streszczenie Zaburzenie homeostazy organizmu znajduje odzwierciedlenie w zmianach funkcjonalnych, morfologicznych i molekularnych, które z kolei można wykrywać w płynach ustrojowych, na przykład w surowicy krwi. Analizowaniem procesów metabolicznych, identyfikacją zmian profilu metabolicznego zajmuje się metabolomika, a jednym z jej podstawowych narzędzi badawczych jest spektroskopia magnetycznego rezonansu jądrowego wysokiej rozdzielczości HR NMR (High Resolution Nuclear Magnetic Resonance). Techniki HR NMR i metabolomiczna analiza danych coraz częściej znajdują zastosowanie…
The application of diode laser SIROLaser Blue® in dentistry Streszczenie Technologie laserowe na stałe znalazły swoje miejsce w świecie medycyny. Ich rozwój zawdzięczamy wykorzystywaniu nowoczesnych rozwiązań technologicznych, dzięki którym stale zwiększa się spektrum zastosowań klinicznych laserów. Poza niewątpliwą skutecznością tych urządzeń bardzo ważną zaletą są pozytywne odczucia pacjentów, m.in. szybsza rekonwalescencja. Skonstruowanie wydajnej diody laserowej o niebieskim promieniowaniu umożliwiło lepszą absorpcję światła w tkance miękkiej oraz…
A simple model illustrating the result of measurement arc field using dosimetric matrix and yet another way to determine the size of the radiation field Streszczenie W artykule przedstawiono model symulujący kształt poprzeczny profilu rejestrowanego przez matrycę dozymetryczną. Następnie opisano jego trzy kluczowe parametry: początkowe położenie głowicy, końcowe położenie głowicy oraz szerokość pola promieniowania. Pokazano, w jakich warunkach model można zastosować. Porównano krzywe…
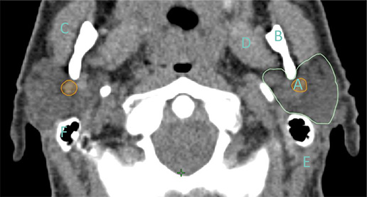
Część 1: rdzeń kręgowy, ślinianki przyuszne i krtań – wskazania dla elektroradiologów Wprowadzenie Na przestrzeni ostatnich kilku lat powstały liczne doniesienia mające na celu opracowanie wytycznych pozwalających na prawidłowe definiowanie zarówno obszarów tarczowych, jak i narządów krytycznych. W niniejszej pracy postaramy się wskazać najważniejsze z nich na przykładzie: rdzenia kręgowego, ślinianek przyusznych i krtani z uwzględnieniem anatomii narządowej, tolerancji dawek i odczynów…
Informacje zawarte na stronie inzynier-medyczny.pl oraz redagowane i publikowane w ramach czasopisma „Fizyk inżynier medyczny” przeznaczone są dla profesjonalistów posiadających doświadczenie, wykształcenie oraz wiedzę na temat branży medycznej posiadających kompetencje w zakresie prawidłowej interpretacji zawartych treści lub dla osób wykonujących zawód medyczny. Publikowane i kolportowane materiały nie są przeznaczone dla laików. Prezentowane w ramach publikacji wyroby oraz poruszane tematy medyczne nie mogą być interpretowane przez przeciętnego użytkownika w związku z wysokim wyspecjalizowaniem treści, które mogą wprowadzić go w błąd. Wszystkie wskazane wyżej treści przeznaczone są wyłącznie dla specjalistów i nie są kierowane do publicznej wiadomości.
Dalszym korzystaniem z witryny, wyrażasz zgodę na wykorzystanie cookies. więcej informacji
Używamy cookies i podobnych technologii m.in. w celach: świadczenia usług, reklamy, statystyk. Korzystanie z witryny bez zmiany ustawień Twojej przeglądarki oznacza, że będą one umieszczane w Twoim urządzeniu końcowym. Pamiętaj, że zawsze możesz zmienić te ustawienia. Szczegóły znajdziesz w Polityce Prywatności.