Wprowadzenie W 2013 roku minęło 100 lat od powstania idei zastosowania kratki przeciwrozproszeniowej w technice radiografii. Podstawy techniczne działania, obecnie jednego z najczęściej używanych narzędzi poprawy jakości obrazu w rentgenodiagnostyce, stworzył doktor Gustav Peter Bucky (Fot. 1). W artykule przedstawiono sylwetkę genialnego lekarza, jego życie i najważniejsze osiągnięcia w medycynie oraz technice. Praca powstała na podstawie przeglądu publikacji książkowych i czasopism. Streszczenie…
Wprowadzenie Całkowite napromienianie całego ciała pacjenta wiązkami fotonowymi TBI (Total Body Irradiation) jest wysokospecjalistyczną techniką napromieniania stosowaną w leczeniu pacjentów z chorobami rozrostowymi układu krwiotwórczego, a w szczególności w przygotowaniu do autologicznej autoHSCT (autologous Haeamatopoietic Stem Cell Transplantation) lub allogenicznej alloHSCT (allogeneic Haeamatopoietic Stem Cell Transplantatio) transplantacji szpiku kostnego BMT (Bone Marrow Transplantation). Podczas zabiegu należy zniszczyć komórki układu…
Wstęp W przygotowywanej nowej wersji załącznika do Rozporządzenia Ministra Zdrowia w sprawie warunków bezpiecznego stosowania promieniowania jonizującego dla wszystkich rodzajów ekspozycji medycznych, w części opisującej testy eksploatacyjne akceleratora proponowana jest istotna zmiana testu, którego celem jest kontrola stałości profili wiązek fotonowych. Test ten w nowej wersji uzyskał brzmienie: Stałość profili wiązek promieniowania Dla wiązek wysokoenergetycznego promieniowania X przeprowadzić…
Medikol Systems jako pierwsza firma w Polsce przerywa monopol na serwis tomografów komputerowych marki Toshiba. Do tej pory jedyną firmą serwisującą tomografy tej marki był autoryzowany przedstawiciel Toshiba. „Know – how” zostało zdobyte w ośrodku w USA podczas szkolenia, w którym udział wzięło dwóch inżynierów Medikol Systems: Paweł Kopyść i Mariusz Kołodziej. Do ich zadań…
Systemy tomografii komputerowej są najczęściej stosowanymi systemami obrazowania w planowaniu leczenia radioterapeutycznego (symulacja i obliczanie rozkładu dawki – dane obrazowe dla systemów planowania leczenia). Korzyści ze wspomagania planowania leczenia przez systemy tomograficzne dotyczą trzech obszarów: (a) informacji o lokalizacji obszaru terapeutycznego (guz/loża po guzie/ROI) i zdrowych tkanek, (b) możliwości planowania i kalkulacji rozkładu dawki z…
Wprowadzenie Rozwój nowych technik leczenia w teleradioterapii, opartych na modulacji intensywności dawki promieniowania, radiochirurgii i stereotaksji wymaga coraz wyższej jakości realizowanego leczenia. Zapewnienie odtwarzalności planu leczenia bazującego na obrazie statycznym i jego realizacja w warunkach rzeczywistych wiążą się z koniecznością zapewnienia nowych narzędzi, które pomogą dokładniej zweryfikować i zrealizować geometrię planu terapeutycznego. Równolegle z rozwojem technik radioterapeutycznych równie dynamicznie…
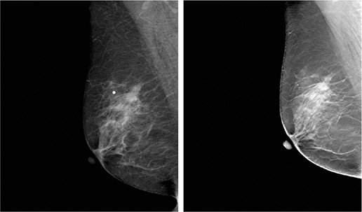
Wstęp Cyfrowa mammografia stała się nowym standardem we wczesnej diagnostyce raka piersi [1, 2]. Jednak mimo wszystkich korzyści wynikających z jej stosowania, metoda ta nadal ma ograniczenia. Badania pokazują, że ok. 22% złośliwych nowotworów, zwłaszcza w piersiach o kompozycji gruczołowej, pozostaje niezdiagnozowanych [3]. Jedną z przyczyn może być efekt nakładania się tkanek – zmiany lub inne struktury anatomiczne mogą…
Systemy tomografii komputerowej są najczęściej stosowanymi systemami obrazowania w planowaniu leczenia radioterapeutycznego (symulacja i obliczanie rozkładu dawki – dane obrazowe dla systemów planowania leczenia). Korzyści ze wspomagania planowania leczenia przez systemy tomograficzne dotyczą trzech obszarów: (a) informacji o lokalizacji obszaru terapeutycznego (guz/loża po guzie/ROI) i zdrowych tkanek, (b) możliwości planowania i kalkulacji rozkładu dawki z…
Informacje zawarte na stronie inzynier-medyczny.pl oraz redagowane i publikowane w ramach czasopisma „Fizyk inżynier medyczny” przeznaczone są dla profesjonalistów posiadających doświadczenie, wykształcenie oraz wiedzę na temat branży medycznej posiadających kompetencje w zakresie prawidłowej interpretacji zawartych treści lub dla osób wykonujących zawód medyczny. Publikowane i kolportowane materiały nie są przeznaczone dla laików. Prezentowane w ramach publikacji wyroby oraz poruszane tematy medyczne nie mogą być interpretowane przez przeciętnego użytkownika w związku z wysokim wyspecjalizowaniem treści, które mogą wprowadzić go w błąd. Wszystkie wskazane wyżej treści przeznaczone są wyłącznie dla specjalistów i nie są kierowane do publicznej wiadomości.
Dalszym korzystaniem z witryny, wyrażasz zgodę na wykorzystanie cookies. więcej informacji
Używamy cookies i podobnych technologii m.in. w celach: świadczenia usług, reklamy, statystyk. Korzystanie z witryny bez zmiany ustawień Twojej przeglądarki oznacza, że będą one umieszczane w Twoim urządzeniu końcowym. Pamiętaj, że zawsze możesz zmienić te ustawienia. Szczegóły znajdziesz w Polityce Prywatności.